
Amerika Birleşik Devletleri'nde yaşayan Sarah Blackburn, hiçbir sağlık sorunu belirtisi olmamasına karşın, kendi tabiriyle "Sadece eğlence için" MR çektirdi. Genç anne, sonuçları görünce kendisini, hayatının en zor iki ayına sürükleyen gerçekle yüzleşti.

Olay, Amerika Birleşik Devletleri'nde meydana geldi. Sarah Blackburn herhangi bir sağlık sorunu olmadığını zannederek MR çektirdi.

"Hiçbir semptomum yoktu, sadece keyfi olarak bir vücut MR'ı çektirdim" diyen Blackburn korkunç gerçekle yüzleşti.

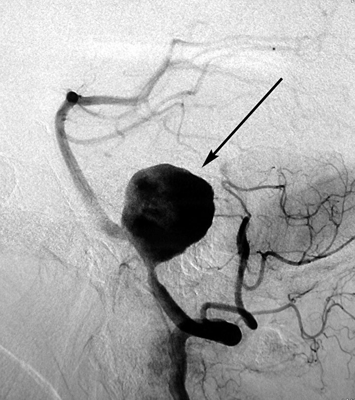
Tam 4 gün sonra gelen sonuçlarda dalak arterinde anevrizma olduğunu öğrenen genç anne hayatının şokunu yaşadı.
Oldukça nadir görülen bu durum Blackburn'ün moralini bozdu. Çünkü patlaması halinde üçte bir oranında ölüm riski taşıyordu. Dahası, ek testlerde de 2 anevrizması olduğu belirlendi.

Blackburn yaptığı açıklamada şu ifadeleri kullandı:
"Sonuçları görünce panik atak geçirdim ve hemen acil servise koştum. Vücudumda saatli bir bomba taşıyor gibiydim"

Anevrizmaların konumu dolayısıyla doktorlar, genç kadına dalağının alınması gerektiğini söyledi.
Ameliyat olan genç kadın, dalağı olmadan yaşamaya alışmaya başladığını ifade etti.






