
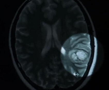
Beyninde kavernom adı verilen, yanlış biçimlendirilmiş kan damarlarının dolaşmasından kaynaklanan bir nöbet geçiren 25 yaşındaki Jenna Schardt, konuşma yetisini kaybetmemek için açık beyin ameliyatı oldu. Ameliyat sırasında uyutulmayan Schardt ile berabere binlerce kişi ameliyatı canlı olarak izledi.
İngiltere'de yaşayan 25 yaşındaki yüksek lisans öğrencisi Jenna Schardt'in birden bire geçirdiği nöbetlerle ilaçlarla baş edemeyince beyin ameliyatı olması gerekti.
Geçirdiği nöbet sırasında beyin kanaması geçirirse eğer, kalıcı hasar oluşabileceğinden bir an önce kontrol altına alınması gerekiyordu.
Fakat, Schardt beyninde kavernom adı verilen, yanlış biçimlendirilmiş kan damarlarının dolaşmasından kaynaklanan bir nöbet geçiriyordu.
Bu kavernom ise dil merkezine oldukça yakındı. Doktorlar ameliyat sırasında beyninin belli noktalarına baskı uygulayacaktı ama Schardt'in konuşma yetisini kaybetmekten korkuyorlardı.
Bu yüzden de Schardt, uyutulmadan ameliyata alındı. Kendi beyin ameliyatını hastanedeki binlerce kişi ile beraber izledi.
Ameliyat sırasında kendisine gösterilen fotoğraflardakilerin ne olduğunu söyleyen Schardt, doktorlarla yaptığı iş birliği sonucu başarılı bir operasyon geçirdi.











